Published Pictures for 26906 Gαi-GTP mAb
Assay for activated Gsα (Gsα-GTP)
We performed activated Gsα-GTP pull-down assays following the manufacturer’s protocol (NewEast Bioscience, 80801). Briefly, GNPs were incubated with Shh (3 μg ml–1, R & D), XAV-939 (1 μM) and SAG (200 nM) for 1 h. Cell lysates were incubated with the antibody against the active form Gsα-GTP followed by protein A/G agarose beads for 1 h. Activated Gsα and Gsα proteins were detected by western blot with Gsα antibody.
The level of activated Gsα protein (Gsα-GTP) in response to Shh stimulation
(a) Representative western blot from three experiments showing Gsα-GTP (upper panel) and total Gsα (lower panel) levels from wildtype GNP cells treated with Shh (3 µg ml–1 ), XAV-939 (1 µM), a Wnt pathway inhibitor, and SAG (200 nM) for 1 hr. (b,c) Bar graphs show quantification of normalized GsαGTP levels to Gsα inputs (b) and total Gsα protein levels in the lysates (c). Data are the average of three independent experiments and are shown in arbitrary units ± SEM. **P < 0.01 vs. control (Student’s t test).

To determine the levels of activated GTP-bound Gnas,
cells were starved overnight in DMEM/F12 and treated with 10−6 M PTH. Cell lysates were used for immunoprecipitation using the activated Gnas antibody (#26906, NewEast Biosciences) and analyzed by western blot using a Gnas-specific antibody (#sc-823, Santa Cruz Biotechnologies, 1:500). The same antibody was used for determining total Gnas levels. Equal loading was confirmed using an α-tubulin antibody (#T9026, Sigma, 1:2000).
The Pkd1 mutant mouse proximal tubular cells upregulation GPCR signaling.
(A-J) 3D-Matrigel assay (A-H) and growth curves (I,J) of the isogenic Pkd1Fl/− and Pkd1−/− cells in the presence or absence of 5 µM H89, 5 µM gallein or a combination of both. (K,L) Dose-response curves for the inhibition of cAMP production by somatostatin (K) or the activation of it by parathyroid hormone (PTH) (L) comparing Pkd1Fl/− and Pkd1−/− cells. (M) Western blot analysis of immunoprecipitated Gnas using both a total and an activated Gnas antibody demonstrates increased levels of GTP-bound Gnas in response to 10−6 M PTH. (N) Western blot analysis examining total Gnas levels between the two cell lines.

cAMP and activity assays
All assays were performed on dissected embryonic hippocampi, snap-frozen in liquid nitrogen. cAMP levels were quantitated from tissue homogenized in 0.1 M HCl, using a cAMP ELISA immunoassay kit (Enzo Life Sciences) following manufacturer’s instructions. GαS and Gαi activity were determined using commercially available activation kits (NewEast Biosciences) following the manufacturer’s instructions. Active Ras (Ras-GTP) was detected by Raf1-RBD immunoprecipitation using the RAS activation kit (Millipore) following manufacturer’s instructions.
(A) Quantification of hippocampal neuron axons lengths by Smi-312 immunostaining. Nf1+/− mouse hippocampal neuron axons are significantly shorter than WT neurons (P < 0.001; n = 200). (B and C) Measurement of cAMP generation in mouse hippocampal neurons and human NF1 patient-derived NPCs (hNF1-NPCs). (B) Nf1+/− neurons have lower cAMP levels relative to their WT counterparts (P = 0.0002; n = 5). (C) hNF1-NPCs have reduced cAMP levels compared with age- and sex-matched controls (P < 0.0001; n = 3). (D and E) Quantification of Gαi and Gαs activation of mouse embryonic hippocampal preparations. (D) Nf1+/− mouse hippocampal preparations show no difference in Gαi activation relative to WT neurons (P = 0.7638; n = 5). (E) Nf1+/− mouse embryonic hippocampal preparations exhibit significantly lower Gαs activity (Gαs-GTP) than their WT counterparts (P = 0.0001; n = 8). (F and G) Measurement of RAS activation in mouse neurons and human NPCs. (F) Nf1+/− mouse hippocampal neurons exhibit higher levels of RAS activation (P = 0.0027; n = 5). (G) hNF1-NPCs (NF1) exhibit higher levels of RAS activation than control (CTRL) NPCs (P = 0.0002; n = 3).

cAMP and activity assays
All assays were performed on dissected embryonic hippocampi, snap-frozen in liquid nitrogen. cAMP levels were quantitated from tissue homogenized in 0.1 M HCl, using a cAMP ELISA immunoassay kit (Enzo Life Sciences) following manufacturer’s instructions. GαS and Gαi activity were determined using commercially available activation kits (NewEast Biosciences) following the manufacturer’s instructions. Active Ras (Ras-GTP) was detected by Raf1-RBD immunoprecipitation using the RAS activation kit (Millipore) following manufacturer’s instructions.
(A) Quantification of Gαs activation and cAMP levels in mouse hippocampal neuron preparations. Nf1+/− mouse neuronal Gαs activity (P < 0.0001; n = 6) and cAMP generation (P < 0.0001; n = 5) are restored to WT levels after lovastatin (Lov) treatment. (B) Measurement of axonal lengths by Smi-312 immunostaining. Lov administration restores Nf1+/− mouse hippocampal neuron axonal lengths to WT levels (P < 0.0001; n = 150). (C) Genetic Nras reduction restores Gαs activation (P < 0.0001; n = 6) and cAMP levels (P < 0.005; n = 4) in Nf1+/− mouse hippocampal preparations to WT levels. (D) Smi-312 immunostaining of mouse hippocampal neurons. Nf1+/−; Nras+/− neurons exhibit axonal lengths indistinguishable from WT neurons (P < 0.0001; n = 73). Data are presented as means ± SEM (n ≥ 5). **P < 0.01; ***P < 0.001; One-way ANOVA with Bonferroni post-test correction. Scale bars 50 µm.

cAMP and activity assays
All assays were performed on dissected embryonic hippocampi, snap-frozen in liquid nitrogen. cAMP levels were quantitated from tissue homogenized in 0.1 M HCl, using a cAMP ELISA immunoassay kit (Enzo Life Sciences) following manufacturer’s instructions. GαS and Gαi activity were determined using commercially available activation kits (NewEast Biosciences) following the manufacturer’s instructions. Active Ras (Ras-GTP) was detected by Raf1-RBD immunoprecipitation using the RAS activation kit (Millipore) following manufacturer’s instructions.

Immunocytochemistry
For immunoprecipitation assay, cells were fixed with 4% paraformaldehyde and permeabilized with 0.1% Triton X-100 in phosphate-buffered saline (PBS). and cells were blocked with 10% FBS and with 10% NP-40. Following fixation and blocking, cells were incubated at 4 °C overnight with the primary antibody in PBS with 1% bovine serum albumin (BSA) and 0.1% Triton X-100. Cells were visualized using anti-Rabbit or anti-Mouse Alexa Flour 488 or 546 (Molecular Probes, Seoul, Korea) Nuclei were counterstained with DAPI (Sigma). Stained cells were observed with a fluorescence microscope (Olympus IX71).
IHC analysis
Mice were sacrificed and mice tissues were fixed in formalin for the preparation of paraffin sections. Paraffin-embedded tissue sections were deparaffinized in xylene, 100%, 95%, 80%, and 70% ethanol, followed by PBS. Epitopes were unmasked with 20 mg/mL proteinase K in PBS with 0.1% Triton X-100. Sections were stained with Hematoxylin and eosin (H&E) or immunostained overnight at 4 °C with the primary antibody in a blocking buffer with 5% Normal Goat Serum (NSG) and 3% BSA (BSA) in PBS. After washing in PBS, biotinylated goat anti-rabbit IgG or anti-mouse IgG antibody was then applied to the sections for 1 h. After washing in PBS, ABC reagent (Vector Laboratories Inc, Burlingame, CA, USA) was applied to the sections for 1 h. The color reaction was performed with 3,3’-diaminobenzidine (Vector Laboratories, Burlingame, CA, USA). After counter-staining with hematoxylin and clearing with graded ethanol series and xylene, the sections were mounted with Canada balsam. Images were captured with a DP71 digital imaging system on an IX71 microscope (Olympus, Seoul, Korea).
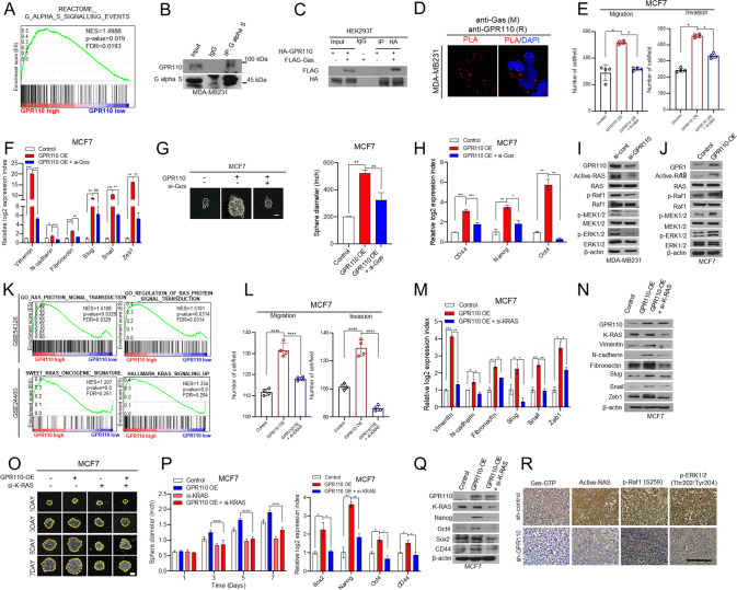
A GESA analysis revealed that GPR110 expression was positively correlated with the Gαs signaling (GSEA12093). B Co-immunoprecipitation with Gas antibody and western blot analysis to check the interaction between Gas and GPR110 in MDA-MB231. C Co-Ip assay to analyze GPR110 and Gαs interaction in HEK293T cells. D Representative images and quantification of in situ PLA showing the interaction between Gas and GPR110. Scale bar = 100 μm. E The invasive and migrated cell numbers were assessed in GPR110 expression alone or together with Gαs expression in MCF7 cells. F qRT-PCR analysis of EMT markers and regulators using the same rescue experiments. G Sphere forming assay were assessed in GPR110 expression alone or together with Gαs expression in MCF7 cells. H qRT-PCR analysis of CSC regulators using the same rescue experiments condition. I, J Western blotting analysis to assess active RAS signaling pathway (p-RAF, p-MEK, p-ERK) using GPR11-silencing MDA-MB231 cells or GPR110-overexpressing MCF7 cells. K GSEA of RAS protein signal transduction signature and KRAS oncogene signature to GPR110 expression in breast cancer patients (GSE54326, GSE24460). L The invasive and migrated cell numbers were assessed in GPR110 expression alone or together with K-Ras expression in MCF7 cells. M, N Western blotting analysis and qRT-PCR analysis of EMT markers and regulators using the same rescue experiments condition. O Sphere forming assay was assessed in GPR110 expression alone or together with K-Ras expression in MCF7 cells (left) and the graph showed the size of spheres formed (right). P, Q Western blotting analysis and qRT-PCR analysis of CSC regulators using the same rescue experiments condition. R IHC analysis of GTP-Gas, Active-RAS, p-RAF, and p-ERK in xenograft tumor of mice.

GPR110 induces epithelial-mesenchymal transition and cancer stem-like cells phenotype via Gas/RAS pathway
(A) Western blot analysis for the screening of G protein in GPR110-silenced MDA-MB231 cells. (B) Co-Ip assay to analysis GPR110 and Gas interaction in HS578T cells. (C) The biological pathway screening using the western blotting analysis in GPR110-silenced MDA-MB231 cells. (D) Western blotting analysis for the K-Ras activity in Gas-silenced MDA-MB231 cells. *p < 0.05, **p < 0.001, and ***p < 0.0001; ns, not significant; determined by two-tailed Student’s t-test (95% confidence interval).

2.5. Gαs activation assay
Activation of Gs in response to GLP-1(7–36) amide was analyzed by Western blot using an antibody that specifically recognizes the activated (GTP-bound) Gαs subunit (NewEast Biosciences; Malvern PA). Muscle cells in culture were treated with GLP-1(7–36) amide (1 μM) for 5 min in the presence or absence of Gαs activation inhibitor, NF449 (10 μM). In some experiments, muscle cells were treated with 1 μM vasoactive intestinal peptide (VIP), a known ligand for a Gαs-coupled VPAC2 receptor, for 5 min [36]. At the end of 5-minute incubation, medium was removed and muscle cells were solubilized on ice for one hour in medium containing 20 mM Tri-HCl (pH 8.0), 1 mM 1,4-ditiothreitol, 100 mM NaCl, 0.5% sodium dodecyl sulfate, 0.75% deoxycholate, 1 mM phenylmethylsulfonyl floride, 10 μg/ml of leupeptin and 100 μg/ml of aprotinin. The proteins in the lysate were resolved by SDS/PAGE and electrophoretically transferred onto nitrocellulose membranes. The membranes were incubated for 12 h with the anti-Gαs-GTP antibody (1:1500) and then for 1 h with horseradish peroxidase-conjugated secondary antibody (1:5000). The protein bands were identified by enhanced chemiluminescence reagent.
A) Colonic smooth muscle cells in culture were treated with 1 μM GLP-1(7–36) amide in the presence or absence of Gαs inhibitor, NF449 (10 μM) for 5 min. In some experiments, cells were treated with 1 μM of VIP. Activation of Gαs was measured in a Western blot analysis using an antibody selective for GTP-bound Gαs. The density of bands was calculated by image analysis. A representative image of 3 separate experiments is shown in the figure. ** significant (p < 0.01) stimulation in Gαs activity compared to control. B) Colonic smooth muscle cells in culture were treated with 1 μM GLP-1(7–36) amide in the presence or absence of 10 μM NF449. In some experiments cells were treated with 1 μM VIP. cAMP was measured by ELISA as described in the Methods. Results are expressed as pmol of cAMP/mg protein. Values are mean ± SEM of 4 separate experiments. ** significant (p < 0.01) increase in cAMP levels compared to control. C) Colonic smooth muscle cells in culture were treated with GLP-1(7–36) amide in the presence or absence of 10 μM NF449. In some experiments cells were treated with 1 μM VIP. PKA activity was measured in the lysates using kemptide and [32P]ATP in the presence or absence of cAMP as described in the Methods. Results are expressed as the ratio of PKA activity in counts per minute in the absence or presence of cAMP (-cAMP/+cAMP). Values are mean ± SEM of 4 separate experiments. **significant (p < 0.01) stimulation of PKA activity compared to control.

Coimmunoprecipitation
FLSs were lysed in 0.5 mL of lysis buffer and centrifuged for 10 min at 10,000 × g in a refrigerated centrifuge. The supernatant was collected, mixed with 5× Laemmli buffer, and then boiled for 5 min. The whole-cell lysate was precleared for 30 min at 4 °C with 20 μL of protein A+G agarose. The precleared cell lysates were subsequently incubated with 2 μg of the primary antibody for 1 h, 20 μL of protein A+G agarose beads was added, and the incubation was continued overnight at 4 °C with constant rotation. Next, the agarose beads were pelleted by centrifugation at 2500 rpm for 5 min at 4 °C. After extensive washes with ice-cold lysis buffer, the beads were resuspended in sample loading buffer, boiled for 5 min, and subjected to SDS-polyacrylamide gel electrophoresis, and the interaction of both proteins was detected by the corresponding primary antibody [24].
Western blotting
Proteins were separated by SDS-PAGE, electroblotted onto PVDF membranes (Bio-Rad), blocked for 2 h in 5% nonfat milk in TBS-0.1% Tween and incubated with the indicated primary antibodies diluted 1:1,000 in primary antibody dilution buffer (Beyotime, China) and the appropriate secondary antibody diluted 1:10,000 in 5% nonfat milk in TBS-0.1% Tween. Autoradiographs were detected using a LAS400Mini Chemilux CCD camera (GE Healthcare). All the experiments reported in this study were performed three times, and the results were reproducible.
Normal FLSs were obtained from the synovia of SD rats or from trauma patients who had undergone total joint replacement surgery or synovectomy. a Rat FLSs were cultured in the presence of TNF-α at final concentrations of 0, 0.02, 0.2, 2, or 20 ng/mL for 48 h, and cAMP levels were analyzed by a 125I-cAMP RIA kit. b Rat FLSs were transfected with a plasma membrane-linked cAMP biosensor, which has cyan fluorescent protein (CFP) and yellow fluorescent protein (YFP). Cyclic-AMP close to the plasma membrane binds to the EPAC1 domain of the PM-ICUE3 sensor and separates CFP and YFP, leading to a decrease in the intensity of the YFP/CFP ratio. c, d Rat FLSs were treated with different concentrations of TNF-α for 48 h, the cell membrane fraction was purified by centrifugation 30,000 × g, and EP2 and EP4 expression levels were determined by Western blotting. e The relationship between the exogenous TNF-α concentration and the relative membrane expression of EP4 was analyzed, and a negative association was observed. f A significant positive correlation between the relative membrane expression of EP4 and intracellular cAMP levels was described. g–i Rat FLSs were stained with primary EP1–4 antibodies and corresponding FITC-labeled secondary antibodies after treatment with vehicle, TNF-α 20 ng/mL, or 20 ng/mL TNF-α and 1 μM INN for 48 h; cells incubated with only the fluorescently labeled secondary antibody were used as an isotype control. Flow cytometry was used to observe the membrane expression of EP1–4 on FLSs, and the mean fluorescence intensities were compared between the different treatments. j–l Total, cytoplasmic and membrane levels of EP4 were measured in hFLSs treated with TNF-α (20 ng/mL) or TNF-α (20 ng/mL) and INN (1 μM) for 48 h. m Total Gαs expression was measured by Western blotting. n Coimmunoprecipitation was used to determine the level of activated GTP-bound Gαs. The ratio of Gαs-GTP to total Gαs was calculated to reflect the activation of Gαs. *P < 0.05, **P < 0.01, ***P < 0.001 (n = 6).

Measurement of activated Gαs protein levels
The levels of activated, GTP-bound Gαs protein were measured using commercial Gαs activation assay kits (NewEast Biosciences, Malvern, PA). RASMC were treated with increasing concentrations of Ucn for 10 min and then scraped off the plate in the presence of lysis buffer. The cell lysate was centrifuged for 10 min at 12,000 × g, and the supernatant was used to immunoprecipitate with anti-active Gαs monoclonal antibody and the protein A/G beads. After incubating at 4 C for 1 h, the beads were washed three times (10 min each) in lysis buffer. Bound proteins were analyzed by Western blot with anti-Gαs monoclonal antibody. To control sampling errors, the total Gαs protein was also detected.
Ucn activates Gαs-AC signaling pathway in primary aortic smooth muscle cells. Cells were treated with Ucn at the indicated doses for 10 min. Active GTP-bound Gαs protein (A) and cAMP (B) levels were analyzed by Western blotting and RIA, respectively (n = 3). Data are expressed as mean ± SEM. **, P < 0.01 vs. control.

2.7. Analysis of Gas protein
The active GTP-bound Gas protein was assayed using commercial kits (NewEast Biosciences, Malvern, USA). Neurons were treated with increasing concentrations of CRH, antalarmin for 5 min, and then scraped off the plate in the present of lysis buffer supplied with the kit. The anti-active Gas monoclonal antibody and protein A/G agarose bead were added to cell lysates. After incubating at 4 C for 1 h, the beads were pelleted and subsequently resuspended in lysis buffer. Then, the samples were centrifuged for 10 s at 12,000g and the supernatant containing active GTP-bound Gas protein was collected. The samples were reconstituted in SDS–PAGE sample buffer and boiling for 5 min. Aliquots of samples were separated by SDS–PAGE (10%) and subsequently transferred to nitrocellulose membranes by electroblotting. The membrane was blocked with blocking buffer and then was incubated with anti-Gas monoclonal antibody (1:1000) overnight at 4 C. Then the membrane was washed with TBST for three times and incubated with a secondary horseradish peroxidase-conjugated antibody. Immunoreactive proteins were detected using the enhanced chemiluminescence Western blotting detection system (Santa Cruz) and visualized using Sygene Bio Image system (Synoptics Ltd., UK). To control sampling errors, the total Gas protein was determined by Western blotting analysis.
Fig. 4. CRH acts on CRHR1 to activate Gs and Gq signaling pathways. (A) cultured hippocampal neurons were treated with increasing concentration of CRH or antalarmin for 5 min. Cells were then collected for assay of GTP-bound Gs protein or total Gs protein as described in Section 2. Representative protein bands of GTPbound Gs protein were on the top of histograms (n = 3 cultures). (B and C), Cells were transfected with a small inhibitory peptide of Gq protein GP antagonist-2A (C) or negative control peptide (B) for 2 h, then treated with CRH in presence and absence of antalarmin at the indicated doses for 5 min. Levels of phosphorylated PLC-3 protein were analyzed by Western blot analysis. Representative protein bands were presented on top of histogram (n = 3 cultures). Data are normalized to the control and presented as means ± SEM. ⁄ P

Gαi and Gαs activation assays
The activation of Gαi and Gαs was determined by Ab recognition of the levels of these proteins that were GTP-bound in a quantitative plate immunoassay, adapted from our previously developed protocols [39]. This assay was optimized for cell permeabilization conditions, saturating amounts of Ab producing a signal above that of using secondary Ab alone, and for production of a differential signal for total vs. activated Gαi, according to NewEast Biosciences company recommendations. Cells were plated at 10,000-13,000 cells/well in 96-well plates, and serum steroid-deprived (were incubated in DMEM without serum) for at least 2 hrs before treatment. Cells were then treated with physiologic estrogens or xenoestrogens for 15 sec to 8 min. The cells were then processed as described above for the pERK plate assays, except that cells were fixed with 4% PFA for 10 min, and 100μM GTPγS was additionally added, when required, with the permeabilization solution. The fixed cells were incubated with the primary Abs (anti-GTP-Gαi or anti-GTP-Gαs) overnight at 4°C. Replicates of 7-8 wells were performed for GTP-G proteins over 2-3 separate experiments. When we originally developed these types of plate immunoassays for quantitating various receptor and activated signaling proteins, we used nonspecific IgGs instead of specific primary Abs as negative controls, to determine the specificity of this technique for identifying the protein of interest [39], and thus have not repeated those studies again here. We have now utilized this assay format to quantify a variety of proteins in GH3/B6/F10 cell membranes or cell interiors including: ERs and β, GPR30, clathrin, three activated MAPK subtypes, and the activated transcription factors Elk-1 and ATF-2 .
Cells were treated with vehicle (V), estradiol (E2), estrone (E1), estriol (E3), bisphenol A (BPA), ethylphenol (EP), propylphenol (PP), octylphenol (OP) and nonylphenol (NP) for 5 min, all estrogens at 1nM, except that BPA was additionally tested at 10 fM. GTP-bound Gαi (A) and Gαs (B) were measured by recognition with an Ab selective for these GTP-bound forms in the absence (white bar) or presence (dark bar) of 100μM GTPγS. Total Gαi and Gαs were also measured, but did not differ under any conditions of estrogen treatments (data not shown). For statistical annotations: For A *= statistical significance (P<0.05) from paired V control for the no GTPγS group. #= GTPγS-treated group statistical significance (P<0.05) from paired estrogen-treated levels; n=48 without, and n=32 with GTPγS treatment over 3 experiments. For B n=32 without and n=16 with GTPγS treatment over 2 experiments.

Measurement of activated Gs and Gi protein levels
The levels of activated, GTP-bound Gs and Gi proteins weremeasured using commercial Gs and Gi activation assay kits(NewEast Biosciences, Malvern, PA). Myometrial cells weretreated with increasing concentrations of CRH for 5 min andthen scraped off the plate in the presence of lysis buffer. The celllysate was centrifuged for 10 sec at 12,000 g, and the supernatant was immunoprecipitated with anti-active Gs or Gi monoclonal antibody and the protein A/G beads. After incubating at4 C for 1 h, the beads were washed three times (10 min each) inlysis buffer. Bound proteins were analyzed by Western blot withanti-Gs or anti-Gi monoclonal antibody. To control samplingerrors, the total Gs or Gi protein was also detected.
FIG. 3. CRH stimulates Gi and Gq signaling pathways in TL myometrium cells. Cells were treated with CRH at the indicated concentration inabsence or presence of antalarmin (Anta) or astressin 2B (As2b). Levels of GTP-bound Gi protein, GTP-bound Gs protein, and phosphorylated PLC-β3 (pPLCβ3) protein were analyzed as described in Materials and Methods. Concentrations of intracellular cAMP and IP3 were analyzed by RIA andELISA, respectively. A and B, Effects of CRH on GTP-bound Gi protein (A) and GTP-bound Gs protein (B). Representative protein bands of GTPbound Gi protein and Gs protein are on the top of histograms (n = 3 cultures). C, Effect of CRH on cAMP production in TL cells (n = 4 cultures).D, Effect of CRH on phosphorylated PLCFIG. 3. CRH stimulates Gi and Gq signaling pathways in TL myometrium cells. Cells were treated with CRH at the indicated concentration inabsence or presence of antalarmin (Anta) or astressin 2B (As2b). Levels of GTP-bound Gi protein, GTP-bound Gs protein, and phosphorylated PLC-β3 (pPLCβ3) protein were analyzed as described in Materials and Methods. Concentrations of intracellular cAMP and IP3 were analyzed by RIA andELISA, respectively. A and B, Effects of CRH on GTP-bound Gi protein (A) and GTP-bound Gs protein (B). Representative protein bands of GTPbound Gi protein and Gs protein are on the top of histograms (n = 3 cultures). C, Effect of CRH on cAMP production in TL cells (n = 4 cultures).D, Effect of CRH on phosphorylated PLC3 (pPLC3). Representative protein bands of pPLCβ3 are on the top of histograms (n = 3 cultures). E,Effect of CRH on intracellular IP3 concentration (n = 3 cultures). F, Effect of inhibitory peptide of Gq protein GP antagonist-2A on CRH-induced IP3production. Cells were transfected with a small inhibitory peptide of Gq protein GP antagonist-2A or negative control peptide for 2 h and treatedwith CRH at the indicated doses for 10 min, and then levels of intracellular IP3 were analyzed by ELISA (n = 3 cultures). Data are expressed asmean SEM. *, P 0.05; **, P 0.01 vs. vehicle control3 (pPLC3). Representative protein bands of pPLCβ3 are on the top of histograms (n = 3 cultures). E,Effect of CRH on intracellular IP3 concentration (n = 3 cultures). F, Effect of inhibitory peptide of Gq protein GP antagonist-2A on CRH-induced IP3production. Cells were transfected with a small inhibitory peptide of Gq protein GP antagonist-2A or negative control peptide for 2 h and treatedwith CRH at the indicated doses for 10 min, and then levels of intracellular IP3 were analyzed by ELISA (n = 3 cultures). Data are expressed asmean SEM. *, P 0.05; **, P 0.01 vs. vehicle control

Immunoprecipitation assay
HUVECs were harvested in 100 mM Tris-HCl (pH 6.8), 4% SDS, 20% glycerol, 1 mM Na3VO4, 1 mM NaF, and 1 mM PMSF. Equal amounts (700 μg) of cell lysates were incubated with 1 μg of precipitating anti-caveolin-1 antibody for 1 h at 4°C under gentle agitation. 25 μL of protein A-agarose slurry (Cell Signaling) was added, and the samples were rotated and incubated at 4°C for another hour. The samples were then pelleted, washed, and resuspended in 50 μL of 2×Laemmli buffer for immunoblotting.
GαS activity assay
GαS Activation Assay Kit (NewEast Biosciences, PA, USA, #80801) is based on the monoclonal antibody specifically recognizing the active GTP-bound GαS proteins. Briefly, HUVECs were harvested in assay/lysis buffer and cell lysates were incubated with 1 μL anti-active GαS monoclonal antibody and 20 μL of protein A-agarose slurry. The samples were then pelleted, washed, and resuspended in 50 μL of 2×Laemmli buffer for immunoblotting by using anti- GαS monoclonal antibody.
(A). HUVECs were treated with vehicle or FSH (50 mIU/mL) for 24 h in the presence or absence of GαS antagonist NF499 (10 μM) and analyzed by Western blotting. (B). HUVECs were treated with FSH (50 mIU/mL) for over 6 h. Cell lysates were subjected to immunoprecipitation using anti-active GαS monoclonal antibody. Immunoprecipitates were analyzed by Western blotting with anti- GαS antibody. (C). HUVECs were treated with vehicle, FSH, or adenylyl cyclase activator Forskolin (FSK, 10 μM) in the presence or absence of GαS antagonist NF499. cAMP concentration was determined by ELISA. ** = P < 0.01, *** = P < 0.001 vs. control; ## = P<0.01, ### = P<0.001 vs. FSH or FSK. (D). HUVECs were treated with vehicle or FSH in the presence or absence of NF499 or adenylate cyclase inhibitor MDL12330A (MDL, 10 μM). PKA activity was determined by ELISA. ** = P < 0.01 vs. control; ## = P<0.01 vs. FSH. (E). Western blots of HUVECs treated with vehicle, FSH or FSK in the presence or absence of PKA inhibitor H89 (10 μM) pretreatment. (F). HUVECs were transfected with scrambled siRNA (100 nM) or PKA Cα siRNA (100 nM) for 48 h. Then cells were treated with vehicle or FSH (50 mIU/mL) for another 24 h and analyzed by Western blotting. All experiments were repeated at least three times with consistent results and the representative images are shown.

Analysis of Gs protein.
The active GTP-bound Gs protein was assayed using commercial kits (NewEast Biosciences). Neurons were treated with increasing concentrations of corticosterone or corticosterone-BSA for 4 min and then scraped off the plate in the present of lysis buffer that was supplied with the kit. The anti-active Gs monoclonal antibody and the protein A/G agarose bead were added to cell lysates. After incubating at 4°C for 1 h, the beads were pelleted and subsequently resuspended in lysis buffer. Then the samples were centrifuged for 10 s at 12,000 g, and the supernatant containing active GTP-bound Gs protein was collected. The samples were reconstituted in SDS-PAGE sample buffer and boiled for 5 min. Aliquots of samples were separated by SDS-PAGE (10%) and subsequently transferred to nitrocellulose membranes by electroblotting. The membrane was blocked with blocking buffer and then incubated with anti-Gs monoclonal antibody (1:1,000) overnight at 4°C. Then the membrane was washed with TBST three times and incubated with a secondary horseradish peroxidase-conjugated antibody. Immunoreactive proteins were detected using the enhanced chemiluminescence Western blotting detection system (Santa Cruz Biotechnology) and visualized using the Sygene Bio Image system (Synoptics). To control sampling errors, the total Gs protein was determined by Western blotting analysis.
Fig. 6. Cort and Cort-BSA are able to activate Gs-adenyl cyclase (AC) and Gq-PLC signaling pathways.
A and B: representative protein bands showing that Cort and Cort-BSA stimulated the expression of active GTP-bound Gs protein. Cultured hippocampal neurons were treated with increasing concentrations of Cort (A) and Cort-BSA (B) for 4 min. Cells were then collected for assay of active or total Gs protein, as described in materials and methods. C and D: histogram showing that Cort (C) and Cort-BSA (D) stimulated cAMP production in hippocampal neurons in a 4-min period of treatment time. The cAMP content affected by Cort or Cort-BSA was normalized to vehicle control. Data are presented as means ± SE of 4 experiments. E and F: representative protein bands showing that Cort (E) and Cort-BSA (F) increased phosphorylated PLC-β3 expression in a 4-min period of treatment time. G and H: histogram showing that Cort (G) and Cort-BSA treatment (H) for 4 min stimulated inositol-1,4,5-triphosphate (IP3) production in hippocampal neurons. Data are presented as means ± SE of 4 experiments. *P < 0.05; **P < 0.01 vs. control.

Measurement of activated Gαs and Gαi protein levels
The levels of activated, GTP-bound Gαs and Gαi proteins were measured using commercially available Gαs and Gαi activation assay kits. Trophoblast cells or CRH-R2 knockdown trophoblast cells were treated with increasing concentrations of CRH and UCNIII for 5 min in the absence and presence of antalarmin or astressin-2b, and cells were then scraped off the plate in the presence of lysis buffer. The cell lysate was centrifuged for 10 sec at 12,000 × g, and the supernatant was used to immunoprecipitate with antiactive Gαs or antiactive Gαi monoclonal antibody and the protein A/G beads. After incubating at 4 C for 1 h, the beads were washed three times (10 min each) in lysis buffer. Bound proteins were analyzed by Western blot with anti-Gαs or anti-Gαi monoclonal antibody. To control sampling errors and normalize results, the total Gαs or Gαi protein was also detected.
CRH-R1 activates Gs and Gq signaling pathways. Cultured placental cells were transfected with siRNA-CRH-R2 and then treated with CRH at the indicated concentrations in the absence or presence of antalarmin (10−6M) for 5 min. Levels of GTP-bound Gαs protein, cAMP content, and pPLC-β3protein were analyzed as described in Materials and Methods.
A, Effect of CRH on the expression of GTP-bound Gαs protein. Representative protein bands of GTP-bound Gαs protein and total Gαs protein were presented on the top of corresponding histogram. B, Effect of CRH on cAMP production in placental cells. C and D, The effect of CRH on pPLC-β3 protein and the effect of GP antagonist-2A on CRH-induced pPLC-β3 in CRH-R2 knockdown cells. Cells were transfected with siRNA-CRH-R2 and then treated with CRH at the indicated doses in absence or presence of antalarmin for 5 min. Or after transfection of cells with siRNA-CRH-R2, the cells were transfected with a small inhibitory peptide of Gq protein GP antagonist-2A for 2 h. Cells were then treated with CRH at the indicated doses for 5 min. C, Representative protein bands of pPLC-β3 and total PLC-β3 in response to CRH treatment. D, Summary histogram of CRH effect on pPLC-β3. Values are presented as mean ± SEM (B) or mean percent control ± SEM (A and D) for a total of four placenta cultures obtained from four patients (n = 4). *, P < 0.05, **, P < 0.01 vs. vehicle control; ##, P < 0.01 compared with CRH (10−7M). Anta, Antalarmin.

Measurement of activated Gαs and Gαi protein levels
The levels of activated, GTP-bound Gαs and Gαi proteins were measured using commercially available Gαs and Gαi activation assay kits. Trophoblast cells or CRH-R2 knockdown trophoblast cells were treated with increasing concentrations of CRH and UCNIII for 5 min in the absence and presence of antalarmin or astressin-2b, and cells were then scraped off the plate in the presence of lysis buffer. The cell lysate was centrifuged for 10 sec at 12,000 × g, and the supernatant was used to immunoprecipitate with antiactive Gαs or antiactive Gαi monoclonal antibody and the protein A/G beads. After incubating at 4 C for 1 h, the beads were washed three times (10 min each) in lysis buffer. Bound proteins were analyzed by Western blot with anti-Gαs or anti-Gαi monoclonal antibody. To control sampling errors and normalize results, the total Gαs or Gαi protein was also detected.
CRH-R2 activates Gi and Gq signaling pathways. Placental cells were treated with specific CRH-R2 agonist UCNIII at the indicated concentrations in the absence or presence of astressin-2b (10−6M) for 5 min. Levels of GTP-bound Gαs protein, GTP-bound GαI protein, cAMP content, and pPLC-β3 protein were determined as described in Materials and Methods. A and B, Effect of UCNIII on the expression of GTP-bound Gαs protein and GTP-bound GαI protein. Representative protein bands of GTP-bound Gαs/Gαi protein and total Gαs/Gαi protein were presented on the top of corresponding histogram. C, Effect of UCNIII on cAMP production in placental cells. D and E, Effects of UCNIII on the pPLC-β3 and the effect of GP antagonist-2A on UCNIII-induced pPLC-β3. Cells were treated with increasing concentration of UCNIII in the absence or presence of astressin-2b for 5 min, or cells were transfected with a small inhibitory peptide of Gq protein GP antagonist-2A for 2 h and then treated with CRH at the indicated doses for 5 min. The levels of pPLC-β3 were analyzed by Western blotting. D, Representative protein bands of pPLC-β3 and total PLC-β3 in response to UCNIII treatment. E, Summary histogram of UCNIII effect on pPLC-β3. Values are presented as mean ± SEM (C) or the mean percent control ± SEM (A, B, D, and E) for a total of four placenta cultures obtained from four patients. *, P < 0.05, **, P < 0.01 vs. vehicle control; ##, P < 0.01 compared with UCNIII (10−7M). As2b, Astressin-2b.